national center for biological sciences
Uncovering The History Of The Tiger Genome
Historic dips in the population from a wildly endangered past have led to a split between genetically diverse tiger subspecies and several inbred individuals.
Staying Motivated, According To Fruit Flies
Whether flying or feasting, fruit flies are a highly motivated bunch, thanks to a protein responsible for calcium spikes in brain cells.
Leopards Love Indian Tea Gardens
In north-eastern Indian tea gardens, the presence of leopards does not necessarily lead to conflicts with people.
How Smells Can Split Species
An altered sense of smell could drive the formation of new species, as seen in hawthorn flies and apple flies.
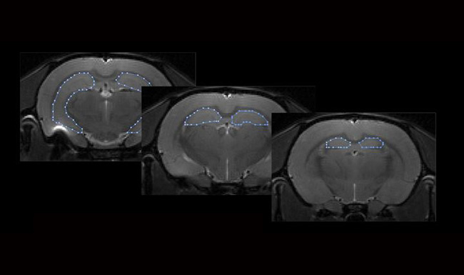
A Single Traumatic Incident Could Change The Brain’s Architecture
A single traumatic experience can cause changes to the amygdala in rats, resulting in behavior similar to post-traumatic stress disorder.
Maintaining The Delicate Balance In The Eyes
Scientists have identified the enzyme that maintains the balance between two key processes that control the size of light-sensitive membranes in the eyes.
Like Kites, Messenger Molecules Need Tails To Function
In biological cells, messenger molecules called mRNA behave similar to kites, requiring a tail for stability.
The Traffic System Within Living Cells: Chance Or Design?
Scientists' simulations have shown that the complex compartments and traffic systems within cells could arise randomly in 25 percent of cases.
Fruit Flies Ignore Their Hunger To Pupate
Researchers have found a circuit of nerve cells in fruit fly brains that push them to enter the pupal stage, despite a lack of proteins in their diet.
Even A Brief Period Of Stress Could Affect Memory: Study
Aside from memory loss, the hippocampus or 'memory center' in the brains of rats shrank after just three days of chronic stress.












